Ein Zahnimplantat – der beste Zahnersatz
Zahnverlust kann jeden treffen. Die beste Lösung: ein Zahnimplantat aus der Zahnwelt Fichtelgebirge von Dr. Holler & Kollegen – Ihrem Zahnarzt in Arzberg. Geht ein natürlicher Zahn verloren, so hinterlässt er immer eine unschöne und das Gebiss in seiner Funktion beeinträchtigende Lücke. Zum Glück stellt dies heute kein großes Problem mehr dar. Denn dank der modernen Zahnimplantate sowie minimalinvasiver, schonender Implantationsmethoden verfügen wir über exzellente Möglichkeiten, um fehlende Zähne in perfekt natürlicher Ästhetik und Funktionalität zu ersetzen.
Ihr Zahnimplantat
Exzellente Lösungen
In unserer Praxis bieten wir Ihnen modernste Zahnimplantate, die Ihnen Ihr unbeschwertes Lächeln zurückgeben. Dank unserer hohen Expertise und der Erfahrung aus Tausenden von Zahnimplantaten, können wir selbst komplizierte Fälle, z.B. mit fortgeschrittenem Knochenschwund, erfolgreich behandeln. Ob ein einzelner Zahn ersetzt werden muss oder eine umfassende Sanierung notwendig ist – Zahnimplantate sind die fortschrittlichste Methode für festen Zahnersatz. Wir begleiten Sie auf Ihrem Weg zu einem neuen Lebensgefühl!

Dritte Zähne vom Spezialisten
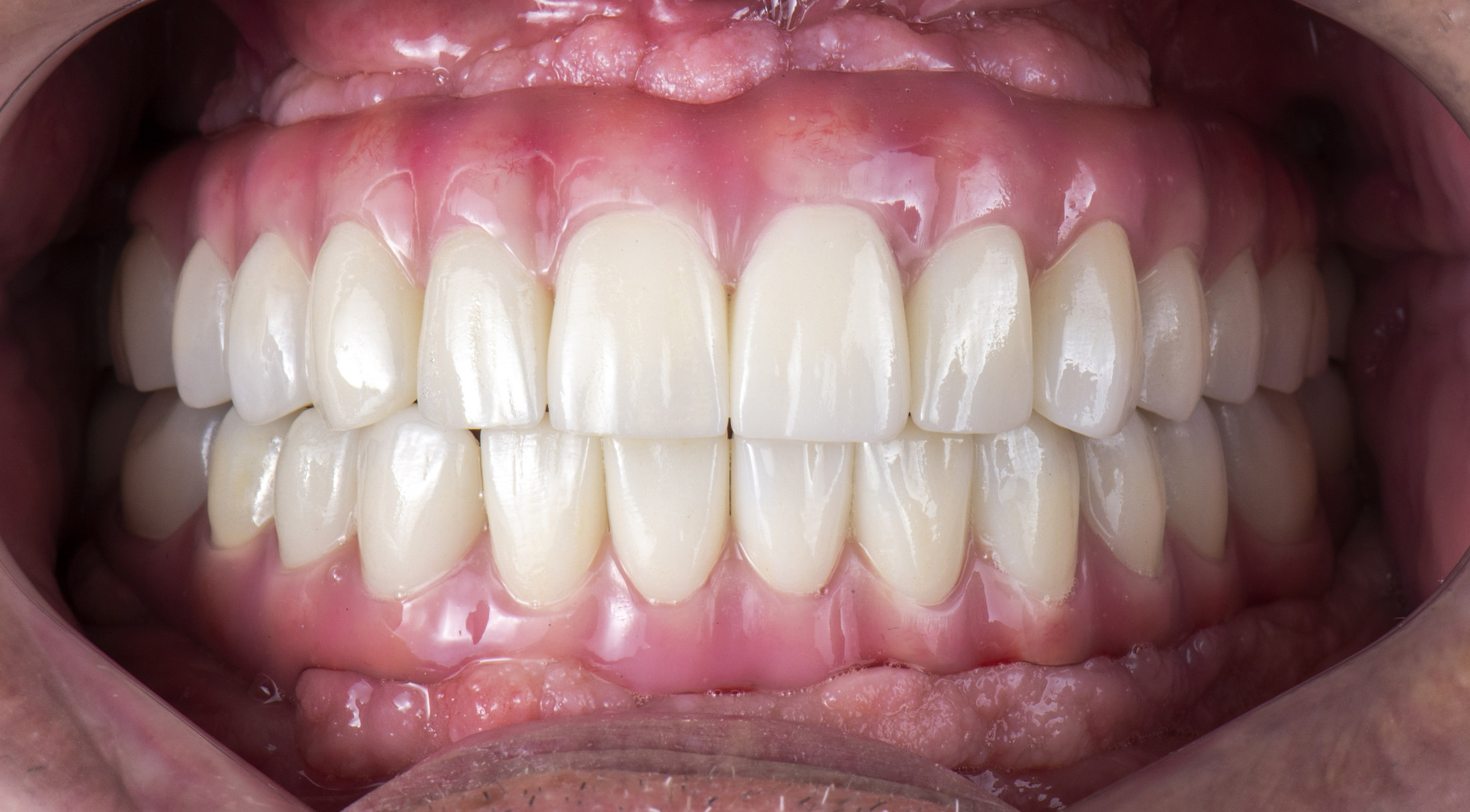
Zahnimplantate ersetzen Zähne perfekt
Ein Zahnimplantat ist eine künstliche Zahnwurzel, die fest im Kiefer verankert wird. Es dient somit als stabile Basis für eine Krone, Brücke oder Prothese. Wir setzen das Zahnimplantat präzise in den Kieferknochen ein, wo es dann mit dem Gewebe verwächst und seine natürliche Belastbarkeit erreicht. Wie ein gesunder Zahn.
Moderne Zahnimplantate sind nicht nur technisch ausgereift, sondern auch biokompatibel. Titan-Implantate haben sich aufgrund ihrer hohen Verträglichkeit und Stabilität seit Jahrzehnten bewährt. Alternativ gibt es Keramikimplantate, die metallfrei sind und insbesondere für Patienten und Patientinnen mit Metallunverträglichkeiten eine hervorragende Wahl darstellen. Beide Materialien gewährleisten eine dauerhafte und sichere Einheilung in den Kieferknochen.
Der größte Vorteil eines Zahnimplantats gegenüber herkömmlichem Zahnersatz liegt sicherlich in der festen Verankerung. Während Brücken gesunde Nachbarzähne als Stütze benötigen und Prothesen oft verrutschen, bietet ein Implantat maximalen Komfort und Stabilität. Es stellt die modernste Lösung für den Ersatz fehlender Zähne dar – langlebig, funktional und optisch perfekt anpassbar.
Geht es um Kauleistung, Funktion und dabei hervorragende Ästhetik ist ein Zahnimplantat unbestritten die beste Lösung bei Zahnverlust. Wie eine künstliche Zahnwurzel wird es fest im Kieferknochen verankert und unterscheidet sich dann kaum mehr von seinem natürlichen Vorbild. Somit liegt der größte Vorteil eines Zahnimplantats in seiner festen Verankerung. Während Brücken gesunde Nachbarzähne als Stütze benötigen und Prothesen häufig verrutschen, bietet ein Implantat maximalen Komfort und Stabilität. So lassen sich auf vier bis sechs Zahnimplantaten sogar alle Zähne eines Kiefers festsitzend ersetzen – die perfekte Prothetik.

Erstklassige Qualität
Zahnimplantate aus deutschland
Günstig ist nicht gleich gut
Qualität von Zahnimplantaten
Bei guter Mundhygiene und regelmäßiger SOLO Prophylaxe kann ein Implantat ein Leben lang erhalten bleiben. Im internationalen Vergleich stellen wir jedoch immer wieder große Qualitätsunterschiede bei Zahnimplantaten fest. Will heißen: Die günstigste Lösung kann Sie teuer zu stehen kommen. Spätestens dann, wenn sich die günstige Alternative aus einer europäischen Zahnklinik stark lockert, nicht hält oder gar als infizierter Fremdkörper abgestoßen wird. Ein Zahnimplantat ist eine Investition in Ihre Mundgesundheit. Für den richtigen Biss im Leben – in jedem Alter! Treffen Sie die richtige Entscheidung.
So bleibt Zahnersatz erschwinglich
Volle Kostentransparenz
In unserer Praxis möchten wir, dass erstklassige Zahnmedizin finanzierbar bleibt. Darum arbeiten wir mit starken Partnern zusammen. Als Finanzdienstleister und Versicherer sorgen diese dafür, dass eine optimale Zahnversorgung erschwinglich bleibt. Für alle! Bitte sprechen Sie uns an! Wir schließen die Lücke – auch in Sachen Kosten & Finanzierung. Mundgesundheit sollte kein Privileg sein. Gemeinsam schaffen wir Lösungen.

Kompetenz trifft Erfahrung
Zahnimplantat für jeden Fall
Jeder Mensch ist einzigartig – und genauso individuell stellt sich auch jede Zahnsituation dar. In der Implantologie – wie wir sie praktizieren – gibt es keine Standardlösungen. Wir nehmen uns die Zeit, Ihre persönliche Situation genau zu analysieren und die bestmögliche Behandlungsstrategie zu entwickeln. Ob es um die Anzahl der fehlenden Zähne, Ihre Knochenbeschaffenheit oder individuelle Heilungsprozesse geht – wir respektieren die biologischen Gegebenheiten Ihres Körpers und passen unsere Vorgehensweise entsprechend an. Für bestmögliche Ergebnisse.
Manchmal ist Geduld gefragt. Während sofortbelastbare Implantate für manche verlockend klingen, geben wir in unserem Zahnzentrum in Arzberg der langfristigen Stabilität den Vorzug. Ihr Körper verdient es, die Zeit zu bekommen, die er für seine Heilung benötigt. Wir lassen Ihrem Zahnimplantat deshalb gern die Zeit, die es zum Einheilen benötigt. Denn unser oberstes Ziel ist nicht nur eine schnelle Lösung für den Augenblick, sondern ein Implantat, das Sie jahrzehntelang zuverlässig begleitet.
Ein starkes Gebiss trägt durchs Leben. Ein schönes Lächeln öffnet Herzen.
Für Schnellere Heilung
A-PRF Eigenbluttherapie
Um die Behandlungsdauer und Ihren Heilungsprozess bei größeren Eingriffen zu verkürzen, nutzen wir die PRF-Eigenbluttherapie. Wobei die Abkürzung „A-PRF“ für Advanced Platelet Rich Fibrin steht.
Es handelt sich dabei um aus Ihrem eigenen Blut gewonnene Plasmabestandteile, die reich an Wachstumsfaktoren, Leukozyten und Fibrin sind. Diese Blutplättchen wirken wie Stimulatoren auf die Blutgerinnung. Zudem enthalten sie hochkonzentriert wertvolle Wachstumsfaktoren – und sorgen dafür, dass sich Gewebe und Knochen nach chirurgischen Eingriffen rasch wieder regenerieren.

Minimaler Eingriff. Maximaler Erfolg.
3D-navigiertes Zahnimplantat
Um unseren Patientinnen und Patienten eine ausgezeichnete Behandlungsqualität zu gewährleisten, nutzen wir computerunterstützte, 3D-navigierte Implantologie. 3D-navigierte bedeutet, dass wir das Einsetzen des Zahnimplantats bereits vor der Operation am Computer an einem dreidimensionalen Patientenmodell simulieren. Die Grundlage dafür bietet uns die digitale 3D-Volumentomografie (DVT).
Zahnimplantat vom Experten
Seien Sie anspruchsvoll
Wir sind anspruchsvoll, wenn es um Ihre Mundgesundheit geht. Sie sollten es auch sein! Unser Ziel ist es, dass Sie für viele Jahre, wenn nicht ein Leben lang, hervorragend mit Ihrem Zahnimplantat versorgt sind.
So läuft das Setzen eines Zahnimplantats ab
Frontzahn-Ersatz mit Zahnimplantat
Ein Frontzahn-Implantat stellt eine besonders anspruchsvolle Aufgabe und in Sachen Ästhetik eine hohe Herausforderung dar. Es gibt viele individuelle Aspekte, die wir dabei berücksichtigen müssen. Einer davon ist das vorhandene Knochenvolumen im Frontzahnbereich. Reicht es für das Frontzahnimplantat oder müssen wir den Knochen erst aufbauen? Zu beachten ist außerdem die Lachlinie. Ist sie besonders hoch und zeigen Sie beim Lächeln viel Zahnfleisch, dann tritt der Übergang zwischen Zahnimplantat und Keramikkrone ästhetisch im wahrsten Sinne in den Vordergrund.
Der Verlust eines Frontzahns bringt für die Patienten, neben der rein funktionellen Einschränkung, eine erhebliche Beeinträchtigung im sozialen Umgang und im Aussehen mit sich. In der Zahnwelt Fichtelgebirge achten wir auf eine perfekte Wiederherstellung Ihrer rot-weißen Ästhetik und somit der natürlichen Balance zwischen Zahnfleisch und Zahn. Mit Zahnimplantaten aus Keramik in Verbindung mit Keramikkronen tragen wir in entscheidender Weise wieder zu einer perfekten Ästhetik bei.


Die weiße Farbe des Keramikimplantats gleicht dem Farbton der natürlichen Zähne und Zahnwurzeln und schimmert deshalb nicht durch die äußere Schleimhaut des Zahnfleisches hindurch. Zirkonoxid ist zudem vollständig metallfrei und löst keinerlei Unverträglichkeiten aus. Kurz gesagt: Kieferknochen und Zahnfleisch lieben Zirkonoxid. Speziell das Zahnfleisch schmiegt sich nahtlos an die Keramik an. Entscheidend im Frontzahnbereich!

Fester Sitz der 3. Zähne
Implantatgetragene Zahnprothese
Zahnimplantate ermöglichen auch bei Verlust aller Zähne eine ausgezeichnete und schnelle Lösung. Sie geben Ihrer Zahnprothese einen festen Halt und Ihnen ein sicheres Gefühl, da Ihre Prothese nun fest mit dem Knochen verbunden ist. Dazu sind mehrere Versorgungswege und Befestigungsmethoden möglich, abhängig von Ihren Wünschen und den Voraussetzungen.
Die ästhetisch anspruchsvollste Lösung bei einem vollständig zahnlosen Kiefer ist sicherlich die fest verschraubte Zahnreihe. Sie wird auf den Implantaten fixiert und schließt in der Regel harmonisch mit dem Zahnfleisch ab.


Zur Verankerung einer Vollprothese benötigen wir je Kiefer bevorzugt sechs Zahnimplantate. Denn die Erfahrung zeigt, dass lediglich vier Zahnimplantate oftmals nicht die gewünschte Sicherheit gewährleisten. Wir setzen auf sechs. Aus gutem Grund!
Ein spezieller Neigungswinkel sorgt dabei für maximale Stabilität der seitlichen Zahnimplantate. Dadurch reichen diese weit nach hinten und gewährleisten die größtmögliche Festigkeit. Auf einen langwierigen Knochenaufbau können wir meist verzichten. Ihre neuen Zähne werden an den Implantaten fixiert und erhalten somit einen perfekten Sitz.
Die richtige Entscheidung für Ihr Zahnimplantat
Warum Zahnimplantate von Dr. Holler & Kollegen
Natürliche Ästhetik. Dauerhafte Qualität!
Perfekte Lösung auch für komplizierte Fälle
Beste Qualität. Geprüfte Materialien.
Unsere Praxis bietet Ihnen mehr als nur hervorragende Zahnimplantate, deren Sicherheit und Qualität auf jahrzehntelanger Erfahrung basieren. Wir wollen für Sie vor allem ein Szenario schaffen, dass es Ihnen schwer macht, vor dem Eingriff zu fürchten. Unser Team kümmert sich vor, während und nach der OP liebevoll um Sie.



