Zahnersatz – Kronen, Brücken, Implantate
Zu Zahnersatz zählen wir alle Möglichkeiten, um fehlende oder geschädigte Zähne zu ersetzen. Er schafft die Basis für eine gesunde Kaufunktion, ein überzeugendes Lächeln und letztlich für ein gesteigertes Selbstwertgefühl. In der Zahnwelt Fichtelgebirge von Dr. Holler & Kollegen – Ihr Zahnarzt Arzberg – legen wir größten Wert darauf, dass Zahnersatz sich funktional perfekt in Ihr Gebiss einfügt. Wir achten akribisch darauf, dass Ihr Biss und Ihre Kieferfunktion bestens unterstützt werden. Eine wunderschöne, natürliche Ästhetik stellt die Krönung unserer Behandlungskonzepte dar. Dazu arbeiten wir eng mit Meisterlaboren zusammen, um Ihnen in der gesamten Region Arzberg und Markredwitz die beste Qualität zu garantieren.
Schöner als die Natur
Zahnersatz aus Meisterhand
Ein essenzieller Aspekt beim Anfertigen von Zahnersatz ist die höchst präzise Einpassung in das bestehende Gebiss. Hier entscheiden oftmals winzige Abweichungen im Bereich weniger Zehntelmillimeter über Komfort und langfristige Haltbarkeit. Wir nehmen daher Abstand von computergefrästen Lösungen wie Cerec-Keramikfüllungen und -Kronen. Diese können bei tiefergelegenen Defekten unter dem Zahnfleisch nicht immer optimal erfasst werden, wodurch die präzise Passform nicht mehr gewährleistet ist. Stattdessen vertrauen wir auf meisterliche Exzellenz in der Verarbeitung Ihres Zahnersatzes. So erreichen wir ein Ergebnis, bei dem Funktion und Ästhetik in perfektem Gleichgewicht stehen.
Die unbeliebte Abdrucknahme ersetzen wir – wann immer möglich – durch digitales Scannen.

Natürliche Stabilität und Langlebigkeit
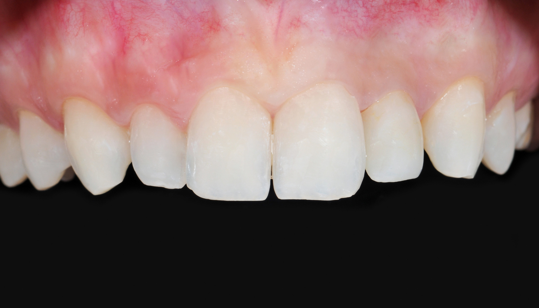
Zahnkronen
Ist ein Zahn stark beschädigt, greifen wir auf Zahnkronen zurück. Diese ersetzen die natürliche Zahnkrone und ummanteln den verbliebenen Zahnstumpf vollständig. Dank moderner Materialien wie Vollkeramik lassen sich Kronen heute äußerst ästhetisch gestalten: Die Farbe, Form und Transparenz sind so auf Ihre Nachbarzähne abgestimmt, dass sie optisch kaum auffallen. Neben der ästhetischen Komponente bietet eine Krone vor allem Stabilität. Dadurch können Sie wieder unbeschwert zubeißen, ohne das Risiko weiterer Schäden am Zahn einzugehen.



Lücken komfortabel schließen
zahnbrücken
Jede Zahnlücke kann sich auf die gesamte Statik des Gebisses auswirken, da benachbarte Zähne langsam in den entstandenen Freiraum kippen oder wachsen können. Zudem gehen Kaukraft und gleichmäßige Belastung verloren, was langfristig zu Gelenkproblemen oder einem unnatürlichen Biss führen kann. Hier kommen Brücken ins Spiel: Sie schließen die Lücke, indem sie an den umliegenden Zähnen verankert werden.
Eine Brücke kann aus unterschiedlichen Materialien gefertigt werden – von stabilem Metall-Keramik-Verbund bis hin zu ästhetisch anspruchsvollen Vollkeramik-Lösungen. Das Ziel ist stets, eine möglichst natürliche Optik mit optimaler Kaufunktion zu vereinen. In unserer Praxis legen wir ein besonderes Augenmerk auf eine millimetergenaue Anpassung, damit das Zusammenspiel von Ober- und Unterkiefer (Okklusion) sowie die Belastung der Pfeilerzähne stimmt.

Die Königsklasse für Zahnersatz
Zahnimplantat
High-end-Lösung Zahnersatz
Zahnimplantat
Zahnimplantate gelten als High-End-Lösung im Bereich Zahnersatz. Dabei wird eine künstliche Zahnwurzel – meist aus Titan oder Keramik – fest im Kiefer verankert, die anschließend mit einer Krone, Brücke oder einer Prothese versehen werden kann. Diese Form des Zahnersatzes kommt dem natürlichen Zahngefühl am nächsten: Sie genießen einen festen Biss, gehen kein Risiko des Verrutschens ein und profitieren zudem von einer langfristigen Stimulation des Kieferknochens, was einem Knochenabbau entgegenwirken kann.
Für höchste Ansprüche
unser Zahnersatz
Ob Zahnkrone, Brücke oder Implantat – in der Zahnwelt Fichtelgebirge geht es uns stets darum, dass Sie langfristig von Ihrem neuen Zahnersatz profitieren. Aus diesem Grund setzen wir ausschließlich auf hochwertige Materialien und modernste Technologien. Diese setzen wir gemeinsam mit exzellenten Zahntechnikerinnen und Zahntechnikern in Meisterlaboren um. Eine derart enge Zusammenarbeit stellt sicher, dass jeder Zahnersatz passgenau und individuell auf Sie abgestimmt wird.

Kompetenz trifft Erfahrung
Zahnersatz ist eine Kunst
Die Kunst des perfekten Zahnersatzes liegt darin, Funktion und Ästhetik in Einklang zu bringen. Jedes Detail muss stimmen, damit Sie dauerhaft beschwerdefrei zubeißen können und ein natürliches Lächeln bewahren. Unsere langjährige Erfahrung und unser spezialisiertes Fachwissen sorgen dafür, dass wir auch anspruchsvollste Situationen meistern. Wir sehen uns nicht umsonst als eine der besten Praxen in der Region, wenn es um hochwertigen, nachhaltigen und exzellenten Zahnersatz geht.
Wenn Sie Fragen haben oder sich für weitere Informationen interessieren, freuen wir uns, Ihnen in einem persönlichen Gespräch all Ihre Anliegen zu beantworten. Vereinbaren Sie gerne einen Termin in unserer Praxis und erleben Sie, was es bedeutet, Zahnmedizin mit Leidenschaft, Präzision und Engagement zu praktizieren. Denn Ihr Lächeln verdient nichts weniger als das Beste.
Zahnersatz erinnert uns daran, dass Erneuerung immer möglich bleibt!

Ästhetische Restaurationen
Hochwertiger Zahnersatz
Hochwertiger Zahnersatz besteht heute aus innovativen Materialien, die sowohl optisch als auch funktionell überzeugen. Ob biokompatible Keramik, widerstandsfähige Metall-Legierungen oder modernste Kompositmaterialien – wir sorgen dafür, dass Ihr Zahnersatz perfekt zu Ihnen passt. Insbesondere vollkeramische Lösungen bieten höchste Ästhetik und eine optimale Verträglichkeit. Wir realisieren Inlays, Zahnkronen oder Brücken aus Komposit, Metallkeramik oder Vollkeramik.
Alle Varianten lassen sich ohne optische Einschränkung verwirklichen. Dank erstklassiger Materialien, aktueller Medizinkenntnisse und ausgereifter Technik sind wir in der Lage, Ihre Zähne so komfortabel zu restaurieren, dass sie natürlichen Zähnen täuschend ähnlich sehen – und sich perfekt anfühlen. Sie erhalten Ihre Sicherheit zurück und gewinnen wieder mehr Ausstrahlung.
