Frontzahn-korrektur
Mit zunehmendem Alter kann sich das Aussehen der Frontzähne verändern. Funktionelle Belastung durch Knirschen und Pressen haben dann oftmals ihre Spuren in Form von Schlifffacetten an den Frontzähnen hinterlassen. Die Zahnsubstanz ist häufig ungleichmäßig verkürzt und das Lächeln wirkt schief. Auch Verfärbungen auf den Zähnen, nachgedunkelte Zahnfüllungen oder abgebrochene Zahnkanten wirken sich störend auf die Frontzähne aus. Zum Glück gibt es wunderbare Möglichkeiten, die volle Ästhetik Ihres Lachens wiederherzustellen – mithilfe einer Frontzahn-Korrektur in der Zahnwelt Fichtelgebirge von Dr. Holler & Kollegen – Ihrem Zahnarzt Arzberg.
Gut zu wissen
Herausforderung
Frontzahn-Korrektur
Frontzahn-Korrektur
Insbesondere die Frontzähne beeinflussen das Zahnbild entscheidend. Je nachdem wie nah die Schneidezähne zueinanderstehen, wie lang oder kurz sie sind, können schon kleine Korrekturen das Aussehen maßgeblich beeinflussen.
So trägt beispielsweise eine ausgewogene Harmonie zwischen der Länge der Frontzähne, dem Zahnfleisch und den Lippen wesentlicher dazu bei, wie attraktiv wir einen Menschen finden. Häufig werden die Zähne im Alter jedoch kürzer. Zum einen durch das Abschleifen der Zähne, zum anderen, weil die Oberlippe aufgrund nachlassender Spannkraft der Haut länger wird.

Verdreht • Abgeschliffen • Verfärbt
Innovative Möglichkeiten der Frontzahn-Korrektur
Dank moderner Methoden wie Alignern, Veneers oder leichten Korrekturen lassen sich beeindruckende Ergebnisse erzielen – ganz ohne aufwendige kieferorthopädische Maßnahmen. Wenn Sie sich schon einmal gewünscht haben, Ihr Lächeln perfekter, harmonischer oder einfach frischer wirken zu lassen, dann sind Ihre Social Six der Schlüssel dazu. Denn ein schöner erster Eindruck beginnt immer mit einem Lächeln.







Frontzhan-Korrektur
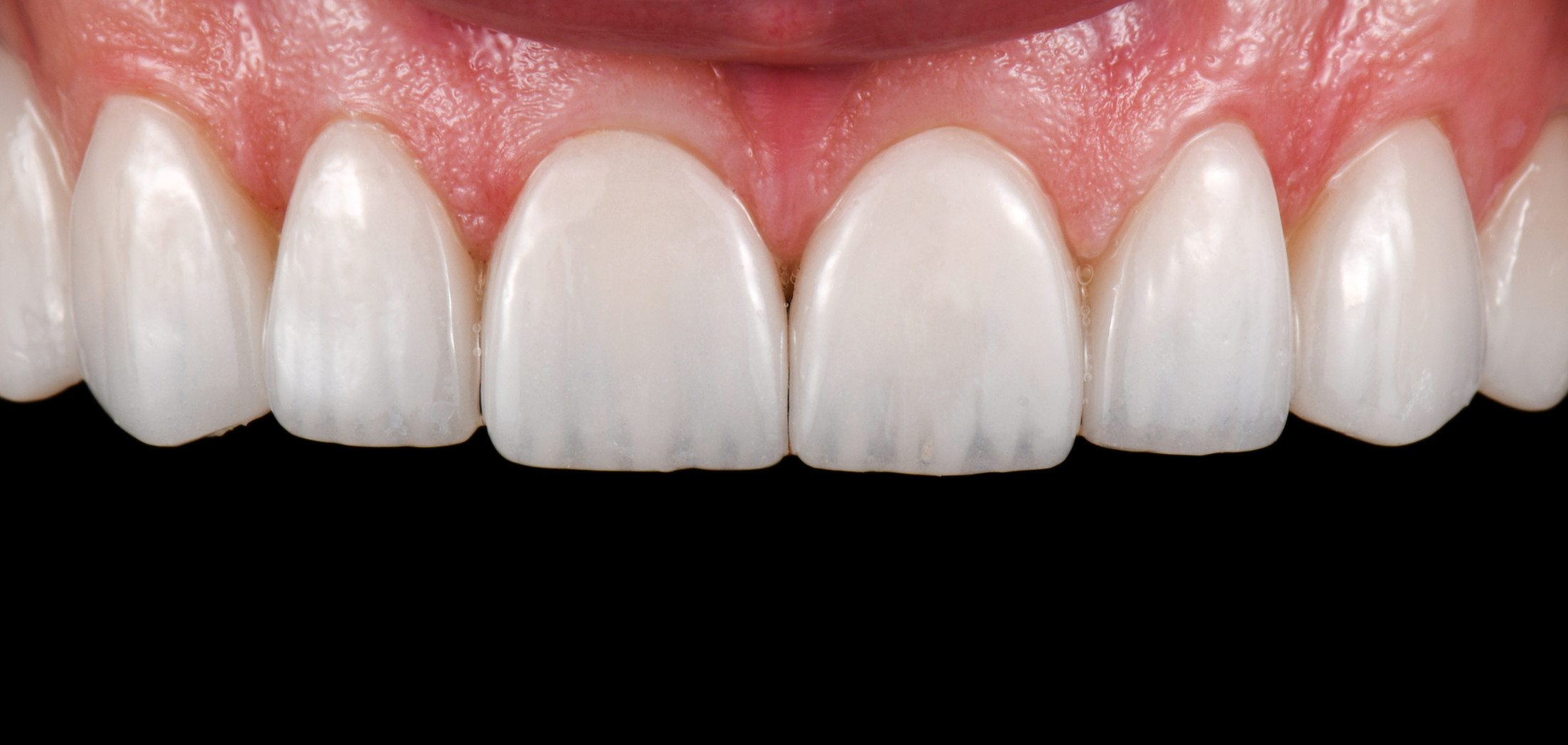
Die „Social Six“
Ihr Lächeln ist das Erste, was andere an Ihnen wahrnehmen. Die sechs Frontzähne im Oberkiefer – die sogenannten „Social Six“ – sind dabei besonders entscheidend. Sie fallen beim Sprechen, Lächeln und in jedem sozialen Kontakt sofort ins Auge. Sind diese Zähne harmonisch ausgerichtet, gleichmäßig geformt und hell, wirkt Ihr Lächeln automatisch gepflegt, sympathisch und selbstbewusst.
Doch kleine Makel wie leichte Fehlstellungen, Verfärbungen oder Abnutzungen können den Gesamteindruck trüben. Eine ästhetische Frontzahnkorrektur hilft dabei, genau diese Zähne sanft und effektiv zu optimieren – für ein strahlendes, natürlich schönes Lächeln.