Aligner – unsichtbare Zahnspange
Ein offenes, strahlendes Lächeln kann Türen öffnen – im Berufsleben, in sozialen Beziehungen und für das eigene Selbstbewusstsein. Doch was tun, wenn schiefe oder gedrehte Zähne dieses perfekte Lächeln trüben? Speziell der Frontzahnbereich – wir sprechen von den „Social Six“ – ist das Erste, was bei einem Lächeln ins Auge fällt. Selbst kleine Fehlstellungen können hier die Harmonie Ihres Gesichts beeinflussen. Die gute Nachricht: Sie müssen keine feste Zahnspange tragen, um Ihr Gebiss zu verschönern. Dank modernster Aligner sorgen wir in der Zahnwelt Fichtelgebirge – Ihrem Zahnarzt Arzberg – für Ihr schönstes Lächeln. Entdecken Sie die Möglichkeiten der HarmonieSchiene. Erfahren Sie hier alles über die Funktionsweise, den Ablauf, die Vorteile und die Finanzierungsmöglichkeiten dieser innovativen Methode.
Die HarmonieSchiene
Aligner für gerade Zähne
Bei der HarmonieSchiene handelt es sich – genau wie bei den Alignern von Invisalign® – um eine unsichtbare Zahnspange in Form einer transparenten Zahnschiene zur Korrektur von Zahnfehlstellungen. Diese Technologie wurde speziell für Erwachsene entwickelt, um leichte bis mittlere Zahnfehlstellungen im sichtbaren Frontbereich sanft zu korrigieren.
Modernste Technologie
Harmonieschiene
Die HarmonieSchiene ist eine maßgefertigte, herausnehmbare Schiene aus biokompatiblem Kunststoff, die Schritt für Schritt Ihre Zähne in die gewünschte Position bewegt. Der Unterschied der HarmonieSchiene zu anderen, bekannteren Alignern zeigt sich vor allem in dem exzellenten Preis-Leistungs-Verhältnis.

Die Einsatzbereiche der Harmonieschiene
ALIgner können viel bewegen
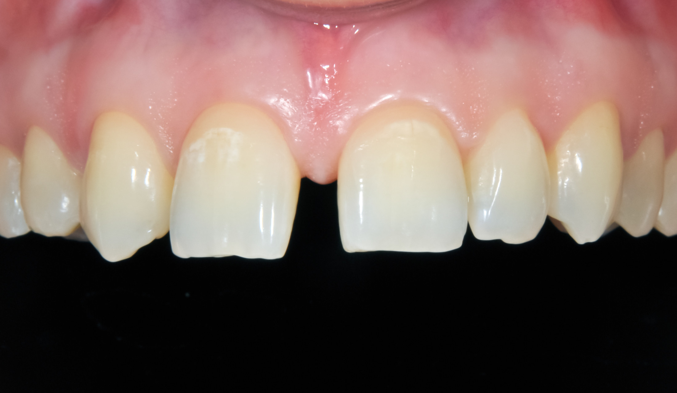
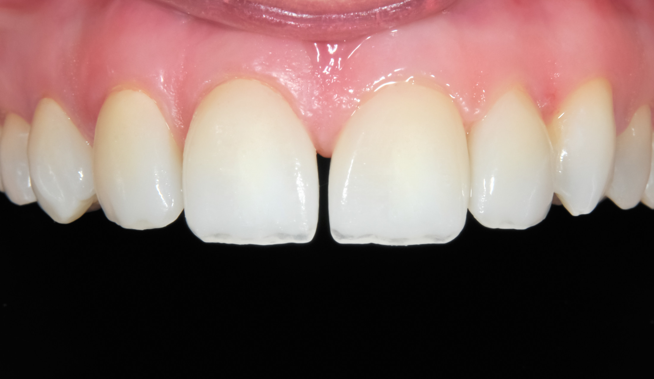
Mit der HarmonieSchiene lassen sich leicht gedrehte oder gekippte Zähne sanft korrigieren. Auch Zahnlücken im Frontbereich können zuverlässig geschlossen werden, besonders kleine Spalten, die das Lächeln beeinträchtigen. Häufige Probleme wie Engstände oder überlappende Zähne entstehen durch Platzmangel. Die transparenten Aligner bewegen die Zähne Schritt für Schritt in die ideale Position und sorgen so für ein harmonisches Gesamtbild.
Die Behandlung mit der HarmonieSchiene ist sanft, fast unsichtbar und unkompliziert. Da die Schiene herausnehmbar ist, bleibt der Alltag unbeeinträchtigt – Essen, Trinken und Zähneputzen sind wie gewohnt möglich. In wenigen Monaten kann die Zahnstellung sanft korrigiert werden, für ein Lächeln, das nicht nur schöner, sondern auch harmonischer wirkt.

Schritt für Schritt zu schönen Zähnen
Behandlung mit Alignern
Die Kosten für eine HarmonieSchiene variieren je nach individueller Zahnfehlstellung und Anzahl der benötigten Schienen und liegen in der Regel zwischen 1.000 und 4.000 €. Da es sich um eine ästhetische Behandlung handelt, übernehmen gesetzliche Krankenkassen diese Kosten meist nicht. Private Krankenversicherungen oder Zahnzusatzversicherungen können jedoch anteilige Erstattungen ermöglichen – eine Überprüfung der eigenen Versicherungsleistungen lohnt sich.
Schöne, gerade Frontzähne verleihen Ihnen ein selbstbewusstes Auftreten und verbessern Ihre Ausstrahlung. Um Ihnen den Weg zu einem perfekten Lächeln so einfach wie möglich zu machen, bieten wir in Zusammenarbeit mit unseren Finanzierungspartnern flexible Ratenzahlungen an. Sprechen Sie uns an – wir informieren Sie gerne über die verschiedenen Optionen!


Häufig gestellte Fragen
FAQ zu Alignern
Die Behandlung mit der HarmonieSchiene ist sanft, fast unsichtbar und unkompliziert. Da die Schiene herausnehmbar ist, bleibt der Alltag unbeeinträchtigt – Essen, Trinken und Zähneputzen sind wie gewohnt möglich. In wenigen Monaten kann die Zahnstellung sanft korrigiert werden, für ein Lächeln, das nicht nur schöner, sondern auch harmonischer wirkt.
Die Harmonieschiene – Ihr Aligner
Sanfte Korrektur, große Wirkung – weil jedes Lächeln seinen perfekten Ausdruck verdient.
Ein schönes, harmonisches Lächeln muss kein Wunschtraum bleiben. Mit Alignern können Sie Ihre Zähne sanft und unauffällig in die ideale Position bringen – ganz ohne feste Spange und ohne Einschränkungen im Alltag. Jeder kleine Schritt bringt Sie Ihrem perfekten Lächeln näher. Warum also warten? Jetzt ist der richtige Moment, um sich selbst etwas Gutes zu tun und mit einem Lächeln zu strahlen, das genau so aussieht, wie Sie es sich wünschen.


